Meer dan 7500 artikelen uit voorraad leverbaar
Uw partner voor astronomie
Microscopie > Microscopen > Omgekeerde microscopen > Evident Olympus > CKX53 > Evident Olympus Omgekeerde microscoop CKX53, trinoculair, 100x, 200x, 400x, IPC/IVC x/y-tafel
Artikelnummer: 49704

Omgekeerde microscoop CKX53, trinoculair, 100x, 200x, 400x, IPC/IVC x/y-tafel

korte termijn
Klaar voor verzending in 3-5 weken + verzendtijd

Geen levering mogelijk voor kerst
Controleer alternatieven op voorraad of bestel een tegoedbon!


Productomschrijving

Meer over de serie CKX53...

Olympus CKX53 IPC/IVC (E07MIS0043)

Handmatig omgekeerd microscoopstatief met gezichtsveld 22 en geïntegreerde 45° trinoculaire buis

  • 4-voudige objectiefrevolver
  • Grote plantentafel (200 mm x 252 mm)
  • Tafeluitbreidingsplaat
  • Verwijderbare/draaibare condensor
  • lange werkafstand (NA 0,3, WD 72 mm, handmatige diafragma), max. WD 194 mm (condensor verwijderd)
  • coaxiale grove en fijne aandrijving
  • LED-lampbehuizing (levensduur 20.000 uur)
  • transparante acryl tafelplaat
  • x,y-objectgeleider met universele monsterhouder voor petrischaaltjes, objectglaasjes, Terasaki-platen (X: ~96 mm, Y: ~57 mm) en kleine celkweekflessen (X: ~150,7 mm (met afsluitdop) Y: ~88,6 mm)
  • Fasecontrastschuif (CKX3-SLP)
  • Ringdiafragma voor inversiecontrast (IVC)
  • Geschikt voor CACHN10xIPC/0,25 objectieven

Belangrijkste kenmerken:

Geïntegreerd fase contrast (IPC)

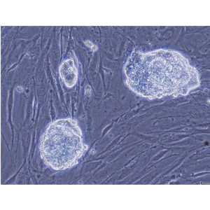
Snelle en efficiënte celobservatie met het geïntegreerde fasecontrastsysteem (iPC).

Het hoge contrast van het iPC-systeem van de CKX53 biedt een helder beeld van cellen bij 4x, 10x, 20x en 40x, zonder dat de gebruiker de ringopening hoeft te vervangen of opnieuw te centreren. Het nieuwe fasecontrastsysteem maakt eenvoudige en efficiënte celobservatie mogelijk voor een snellere en comfortabelere workflow.

Inversiecontrast (IVC)

Ervaar 3D-beelden met de inversiecontrasttechniek (IVC).

Bij deze nieuw ontwikkelde IVC-techniek is de scherptediepte kleiner dan bij fase contrast, waardoor heldere driedimensionale beelden van objecten van elke vorm of transparantie mogelijk zijn. Bovendien levert IVC-observatie heldere beelden zonder halo's of gerichte schaduwen, waardoor de integriteit van de objectdetails tijdens de observatie behouden blijft. Voor deze nieuwe IVC-observatie worden 10X-lenzen (PLCN10X, CACHN10XIPC) gebruikt.

Inbegrepen onderdelen:

  1. Microscoopstatief CKX53SF-1-3 (N5731900)
  2. Achromatisch fasecontrastobjectief 10x CACHN10xIPC-1-7 (N5739800)
  3. Achromatisch fasecontrastobjectief 20x LCACHN20xIPC (N5229300)
  4. Achromatisch fasecontrastobjectief 40x LCACHN40xIPC (N5229400)
  5. Handmatige condenserinzet CKX3-SLP (N5228500)
  6. Ringdiafragma voor IVC CKX3-SLPIC (N5228600)
  7. x/y-objectgeleider CKX3-MVR (N5228300)
  8. Monsterhouder voor petrischalen CKX3-HOU (N5229000)
  9. Tafeluitbreidingsplaat CK2-SS (N030362)
  10. Stroomkabels UYCP (035425)
  11. Stofhoes voor CKX53/41/31 (N1153000)

Specificaties

Optiek


Image scale
10x 20x, 40x
Aantal objectieven
3
Belichting
Doorgelaten licht
Veldkromming
plan
Kleurcorrectie
apochromatisch
Condensor
Roteerbaar
Lamp type
LED (4 W)
Objectief 1
CACHN10xIPC
Objectief 2
LCACHN20xIPC
Objectief 2
LCACHN40xIPC
Oneindig gecorrigeerd
ja
Vergroting
100x, 200x, 400x

Capaciteit


Lamp type
LED
Kleurtemperatuur (K)
4000
DIC, IVC, RC
ja
Phase contrast
ja (IPC- (geïntegreerde fase contrast) lenzen)
Brightfield
ja
Werkwijze contrast
DIC

Mechaniek


Ontwerp
Trinocular
inzicht (°)
45° angled eyepiece
Scherpstellen
Grove en fijn afstelling
Specimen stage
Kruistafel (252 x 200 mm (180 x 70 mm))
Revolver
4

Bijzonderheden


Luminous field diaphragm
ja
Wide-angle oculair
ja (10x/22 mm breedbeeld)

Algemeen


Breedte (mm)
200
Lengte (mm)
498
Hoogte (mm)
454
Serie
CKX53
Gewicht (g)
6,9

Toepassingsgebied


Medicijn
ja
Biologie
ja
Onderwijs
ja

Toepassing


Biochemie
ja
Universiteit
ja

Diversen


Leverancier Productnummer
E0460043 (E07MIS0043)

Productveiligheid

Fabrikant: Evident Europe GmbH, Caffamacherreihe 8–10, 20355 Hamburg, DE, https://www.evidentscientific.com/

Aanbevolen accessoires

Microscopie > Microscopie toebehoren (18)

Evident Olympus PLN2X/0,06 plan-achromatisch objectief

$ 1.120,00*
Microscopie > Andere (1)

Bresser Immersie-olie, 5ml, nD=1.515

$ 18,90*
Basisprijs: $ 3.780,00/L
Onderhoud > Lens cleaners (4)

Zoomion reinigingssysteem

$ 1,90*
Onderhoud > Andere (2)

Omegon microvezel reinigingsdoekje 20cm x 20cm

$ 6,90*

*Alle prijzen zijn inclusief BTW + verzendkosten.

Evident Olympus Omgekeerde microscoop CKX53, trinoculair, 100x, 200x, 400x, IPC/IVC x/y-tafel

Snelle en efficiënte celobservatie met het geïntegreerde fasecontrastsysteem (IPC)

Evident Olympus Omgekeerde microscoop CKX53, trinoculair, 100x, 200x, 400x, IPC/IVC x/y-tafel
Inversiecontrast (IVC)
Evident Olympus Omgekeerde microscoop CKX53, trinoculair, 100x, 200x, 400x, IPC/IVC x/y-tafel
PH: Referentie: Y. Suzuki et al., Methode voor het observeren van faseobjecten zonder halo's of directionele schaduwen.
Evident Olympus Omgekeerde microscoop CKX53, trinoculair, 100x, 200x, 400x, IPC/IVC x/y-tafel
Eenvoudige hantering van alle soorten celkweekbakjes

Klantbeoordelingen

Er zijn nog geen beoordelingen voor dit product.

Stel uw eigen beoordeling samen:

Heeft u specifieke vragen over uw bestelling of producten? Neem dan contact op met onze klantenservice!